近日,聊城市人民医院东昌府院区胸外科成功开展医院首例“单孔胸腔镜下肺癌根治术”,标志着医院胸外科的微创技术水平又上了一个新台阶,也标志着胸外科微创技术水平日臻成熟。
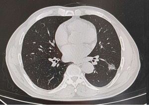
患者是一位65岁男性,因“查体发现左肺下叶结节病变3天”入院,胸部CT示左肺下叶结节,位于背段,大小约2.0×1.8cm,边缘见毛刺及分叶,邻近胸膜略增厚、牵拉。胸外科团队经过充分讨论后,决定给予实施“单孔胸腔镜下左肺下叶切除加系统性淋巴结清扫术”。手术过程顺利,患者目前术后恢复顺利。

胸部CT示左肺下叶结节灶
追求微创、追求创伤最小、利于患者术后快速恢复是现代外科的发展方向。微创胸腔镜技术在胸部外科的广泛应用已有20多年的历史,发展势头迅猛。微创、手术时间短、病人痛苦小、术后并发症少、住院时间明显缩短等等优势逐渐凸显,已经为广大患者所接受。随着手术器械的改进,手术技巧的不断提高,其手术适应征不断扩展,胸腔镜技术正在逐渐取代传统的开胸手术。
随着胸腔镜微创技术的不断发展,近十年来,手术器械及直线切割吻合器的不断改进,双关节、多角度可调节的器械应运而生,胸腔镜技术已由原先常用的三孔技术、双孔技术逐渐发展为单孔技术并不断改进提高。聊城市人民医院东昌府院区胸外科紧紧把握学科发展方向,成功引进该技术,准备广泛开展。

单孔胸腔镜技术
据胸外科主任刘德成介绍,单孔胸腔镜手术,是仅采用一个约4cm的切口进行手术,术中观察镜及手术器械均通过同一个切口。单孔胸腔镜对扶镜手要求比较高,要成功采用这项技术,术者需要经过系统训练,熟练掌握胸腔镜基本手术技术,还要有双关节、多关节可调节手术角度的操作器械,手术中各种器械合理设计,保证在同一切口中能够合理应用。减少为一个手术切口,进一步体现了微创的理念,其优势正在充分展示,单孔胸腔镜技术的应用将会越来越广泛,会成为一个发展趋势。

术后切口情况
